
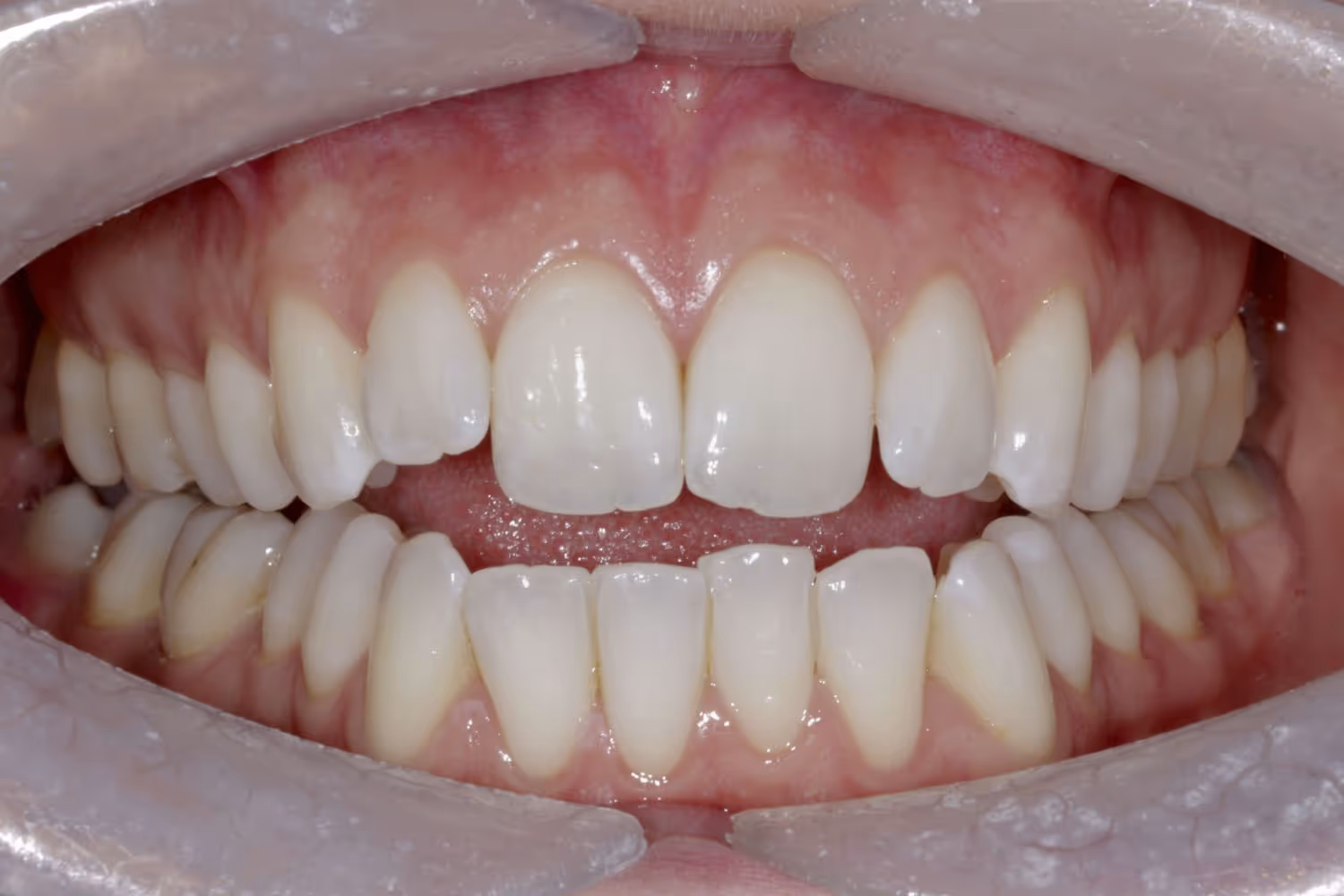
Cuando trabajemos con nuestros ortodoncistas, utilizaremos aparatos ortopédicos para realinear su sonrisa y mejorar la función y la estética de la mordida. También planificaremos su tratamiento de ortodoncia para mejorar la apariencia de los dientes torcidos, protuberantes y apiñados, y trataremos las afecciones de mordida, como las sobremordidas, las mordidas cruzadas y las mordidas abiertas. Sea cual sea su problema de desalineación, podemos enderezar los dientes en tan solo 3 meses.






El proceso Invisalign
Dispondrás de una serie de alineadores Invisalign personalizados, que cambiarás y cambiarás cada dos semanas para mover y enderezar tu sonrisa gradualmente con el tiempo.
No necesitarás acudir al consultorio para hacerte los nuevos alineadores ni para hacerte ningún ajuste, lo que te permitirá continuar el tratamiento en paz y en privado.
Proceso de aparatos de ortodoncia metálica
Los aparatos de ortodoncia metálicos utilizan un sistema de soportes y alambres que aplican una presión constante para desplazar los dientes a su posición correcta. Los aparatos de ortodoncia metálicos necesitarán varios ajustes, por lo que los pacientes deberán acudir al consultorio una vez cada dos semanas aproximadamente para ajustarlos.
Proceso de ortodoncia autoligante
Los aparatos ortopédicos autoligantes, que difieren ligeramente de los metálicos, utilizan clips especializados en lugar de elásticos que ayudan al arco de alambre a guiar los dientes hasta su posición correcta. Los clips no ejercen tanta presión sobre el diente, lo que reduce la cantidad de ajustes que necesitarás, ya que no hay elásticos que reemplazar.
Proceso de aparatos de ortodoncia cerámica
Al igual que los aparatos de ortodoncia metálicos, los aparatos de cerámica funcionan aplicando presión continua sobre los dientes durante un período más largo de 18 a 24 meses. Los aparatos de cerámica son más lentos porque, aunque tienen la ventaja de ser blancos, el material no es tan resistente como el metal o el plástico y, como resultado, desplazan los dientes más lentamente hacia su alineación correcta.

4,9
No podría estar más satisfecha con mi experiencia en Maida Smiles. Una mención especial para el Dr. Gurteurez, que es uno de los dentistas más amables y profesionales que he conocido.
Adam
Tuve mi primera visita y el equipo fue muy cálido, atento y profesional. La plataforma de reservas en línea hace que sea muy fácil concertar su cita. El doctor Pedro me hizo sentir cómodo a pesar de ser mi primera cita desde Covid. Tiene un conocimiento increíble y le ofrece el mejor tratamiento para su afección específica. Los recomendaría encarecidamente
Gian Paolo Ziletti
Profesional. Amistoso. Informativo. Maida Smiles ofrece excelentes servicios dentales que incluyen limpiezas, cirugía oral y realineación. Me siento muy afortunado de tenerlos tan cerca. Esta semana tuve una cita rápida, exhaustiva y segura.
Emily Chmura
Como estaba muy nerviosa por ir al dentista después de una terrible experiencia cuando era más joven, llegué a Maida Smiles y me encantó la actitud tranquila y paciente de Pedro. Se puede ver claramente que Pedro y el equipo se enorgullecen de lo que hacen y son perfeccionistas. Toda la experiencia fue excelente y nunca volveré a ir a otro dentista.
Renea Nathwani
Encantada con el resultado de mi tratamiento por parte de Pedro. Atención meticulosa a los detalles, explicando exactamente cómo se llevaría a cabo el procedimiento desde la primera consulta hasta su finalización, respaldada con notas de orientación justificativas. Es claramente un experto en su campo y alguien que se preocupa apasionadamente por los resultados para sus pacientes. Muy recomendable.
George Jones
Me encantó mi primera visita a Maida Smile Dental Clinic. El miembro del personal de recepción fue muy cálido, acogedor y profesional. Mi dentista, Priscilla, y su asistente fueron fantásticos. Tengo dientes bastante sensibles cerca de las encías y puedo encontrar que la exploración y la investigación son bastante incómodas durante una consulta, pero este no fue el caso en absoluto. No sentí ninguna molestia y me sentí en muy buenas manos. Esto también se aplicaba al trabajo de higienista. Ni siquiera tuve que pedirle a Priscilla que evitara usar el limpiador ultrasónico en las zonas sensibles de mis dientes. Tengo muchas ganas de volver, ¡y no es frecuente que puedas decir eso de ir al dentista!
Simone Gibson
Desde que tuve la suerte de que me recomendaran y reservé una cita con el Dr. Pedro Gutiérrez hace más de 8 años, nunca he confiado mi salud dental ni la de mi familia a nadie más. Es muy difícil encontrar un dentista que cumpla todos los requisitos e incluso supere cualquier expectativa que pueda tener, desde el servicio, la simpatía, el profesionalismo y la experiencia, etc., 5 estrellas no son suficientes para calificarlo. Me alegré tanto cuando abrió su propia clínica y se rodeó de los mejores profesionales que pueda encontrar, que no puedo recomendar lo suficiente la Clínica Dental Maida Smiles.
Sofía Gouveia
¡La clínica dental Maida Smiles es excelente! ¡El personal es muy amable, profesional y siempre busca la mejor experiencia para los clientes! Un agradecimiento especial al Dr. Pedro Gutiérrez, quien es realmente increíble. ¡Estoy absolutamente satisfecho con los resultados y recomiendo encarecidamente esta excelente clínica dental!
Ana Cruz
El Dr. Pedro Gutiérrez es el mejor implantólogo que he conocido. ¡Su trabajo es increíble y de muy alta calidad! Lo recomendaría encarecidamente a él y a Maida Smiles a todos mis amigos y familiares. Si quieres la sonrisa perfecta, este es el lugar al que debes ir.
Flor
«Pedro fue muy paciente y profesional durante todo el tratamiento para mis implantes. Elegí hacerme el tratamiento con anestesia local en lugar de sedación y tengo un reflejo nauseoso muy fuerte cuando algo entra en contacto con la parte posterior de mi garganta. Su paciencia durante toda la experiencia fue maravillosa, lo que me tranquilizó por completo y también me dio una técnica que me ayudaría en el futuro. Lo he visto para hacer un seguimiento y tengo la intención de reservar una visita anual en 2020, lo cual no es poca cosa, ya que vivo a 60 millas de distancia. Puedo recomendarlo sin duda para cualquier tratamiento».
Denise Gilbert
Pedro es completamente profesional y explica sus opciones de tratamiento paso a paso para que se sienta cómodo. Desde que me pusieron los implantes nunca he mirado atrás, ¡me ha cambiado la vida! ¡Puedo comer sin molestias y, lo que es más importante, puedo sonreír con confianza! He recibido una atención de seguimiento excelente y no dudaría en ponerme más implantes si fuera necesario.
Joboanna A.
Estaba muy nerviosa por sacarme la muela del juicio encarnada. El Dr. Pedro Guiterres me hizo sentir muy cómoda y el trabajo se realizó de manera muy profesional. No pasó mucho tiempo y no sentí ningún dolor. Definitivamente recomendaría su servicio en este consultorio.
Jihan Daoud
Desde el día en que hice mi primera cita. El equipo de Maida Smile fue increíble. No me trataron como a un cliente, sino más bien como a una familia. Han sido geniales en cada paso para FINALMENTE CONSEGUIR LA SONRISA DE MIS SUEÑOS, desde la recepcionista hasta mi dentista Pedro Laranjeira. No puedo agradecerles lo suficiente y, por supuesto, a Pedro Laranjeira, hermosa esposa... son muy profesionales y entienden que tenía que cambiar mi cita de vez en cuando por compromisos laborales y fueron muy comprensivos. Definitivamente los recomendaré al 100%, sin olvidar lo elegante que es la oficina
Tracy Mensah
Estaba muy nerviosa por ponerme un implante dental, pero el Dr. Pedro Gutiérrez me tranquilizó de inmediato. El procedimiento me fue explicado en su totalidad y la atención prestada durante y después del tratamiento ha sido del más alto nivel. He recibido consejos sobre cómo cuidar mi implante y no he tenido ningún problema. Lo recomiendo encarecidamente.
Dawn Briggs
El Dr. Pedro Gutiérrez me instaló 7 implantes, incluido uno que requería un injerto óseo. En mis 70 años he tenido algunas malas experiencias con el tratamiento dental, por lo que me cuesta mucho relajarme, pero, desde mi consulta inicial hasta el final del tratamiento, confié plenamente en la experiencia de Pedro: los preparativos para el tratamiento y los cuidados posteriores fueron extremadamente minuciosos y explicados con detalle, el tratamiento en sí fue sorprendentemente soportable (teniendo en cuenta lo que implicaba) y los implantes han marcado una gran diferencia en mi vida. Si está considerando la posibilidad de implantar implantes, le recomendaría de todo corazón a Pedro para este trabajo.
Russ Hickman
No podría recomendar lo suficiente Maida Smiles: el cuidado, la atención a los detalles y la forma en que los dentistas y enfermeras se aseguraron de que me sintiera cómoda y segura durante los tratamientos fueron increíbles. El Dr. Pedro me explicó los tratamientos en detalle y nunca me he sentido presionada para continuar... ¡pero estoy muy contenta de haberlo hecho, ya que me siento feliz y segura de volver a sonreír!
Mariana Pinheiro
Recomiendo encarecidamente este lugar a cualquiera que busque una práctica amigable y confiable con un personal increíblemente amable y paciente. El Dr. Pedro ha sido uno de los mejores dentistas que he tenido, me hizo sentir cómodo y estuvo muy bien informado al explicar cada paso de lo que estaba haciendo y respondiendo a todas mis preguntas. Increíblemente minucioso el procedimiento, excelente comunicación, tratamiento excelente y profesional. Espero que lo mantengan así durante mucho tiempo.
Joás Souza
El Dr. Pedro es un profesional muy bueno, seguro y experimentado. Lo conozco desde hace algunos años y siempre me sentí bien atendido, ya sea para tratamientos pequeños o grandes.Las instalaciones de la clínica son increíbles y todo el personal es muy amable. Muy recomendable.»
Nelson Cafruni
Antes había ido a diferentes clínicas y nadie pudo convencerme hasta que lo hizo Maida Smiles.. El equipo de aquí hace que te sientas cómodo , te muestra diferentes opciones y diferentes presupuestos , y no trata de hacer que optes por un solo plan. Sentí que el equipo estaba bien informado y quería ayudarme, por eso decidí empezar
Diogo
Me remitieron al Dr. Pedro, quien hizo un trabajo maravilloso con mis dientes.. El personal fue extremadamente profesional, te hicieron sentir cómodo y eso facilitó toda la experiencia. Nunca he mirado hacia atrás desde entonces
Teresita
«Le dije: 'Quiero dientes hermosos, hermosos pero naturales, no quiero dientes que parezcan falsos'. Ahora sonrío, hablo... solo te da más confianza. Si llevas un traje bonito... tienes unos dientes bonitos, entonces es como un traje perfecto».
Louca
«Fui a mi higienista hace poco y me dijo que eran los mejores implantes que había visto en su vida y que nunca habría sabido que no eran mis dientes reales».
Sharon
El Dr. Pedro me explicó el proceso de Invisalign. Parecía fácil, fue un proceso bastante rápido y el resultado final es que mis dientes se movieron hacia atrás, así que estoy muy feliz.
Soula
Siento que no solo he desarrollado una relación profesional con mi dentista y el personal, sino que también se parecen más a amigos, debido al tipo de compasión y simpatía que te brindan durante el tratamiento.
Alvin
«Después de que un amigo me recomendara la clínica, me derivaron al Dr. Pedro, quien hizo un trabajo maravilloso con mis dientes. El personal fue extremadamente profesional; hicieron que te sintieras cómodo y eso hizo que toda la experiencia fuera más fácil. Han cumplido con creces mis expectativas. Tengo que ponerme unos cuantos implantes más y ya no tengo miedo. Ahora, por fin, puedo volver a vivir».
Lesley
«Después de no haber tenido una gran experiencia con tratamientos dentales anteriores, estaba desesperada por encontrar a alguien en quien pudiera confiar.. Me rompí un diente e incluso antes de ver al Dr. Pedro, me aseguró que iba a estar bien. Me hizo sentir muy cómoda y a gusto.. Fue una experiencia increíble, no solo del Dr. Pedro sino también de todo el personal de la clínica, y sin duda los recomendaría «.
Mariana
Elegí Maida Smiles por las críticas y por una amiga que estaba muy contenta con los resultados. Los resultados definitivamente cumplieron mis expectativas. Mis expresiones son mucho más suaves que antes y eso realmente marca la diferencia
Carolina
I’m very grateful for the quick and efficient service I received when I needed an emergency appointment. The staff were kind and accommodating, and the dentist provided clear, helpful advice that made a real difference. The whole experience was reassuring. Highly recommend their professionalism and expertise!
Safiya Guled
Siempre estoy ansiosa cuando tengo que ir al dentista y esta fue una de mis primeras experiencias con Maida Smiles. El dentista, Benedict Harrison, fue muy tranquilizador e inmediatamente me tranquilizó. Fue bastante lúcido en sus explicaciones sobre lo que había que hacer, etcétera, y está progresando a buen ritmo con el tratamiento en curso. Además, el resto del personal fue amable y simplemente agradable.
John Jacobs
Vaya, vaya, la Dra. Claudia es la mejor dentista de Londres, mi hijo la adora y siempre es una visita agradable. No puedo recomendarla lo suficiente
Bel Cohn
Estoy encantada con los resultados de mis carillas de reemplazo.
El Dr. Benedict Harrison fue muy bueno a la hora de explicarme todo el proceso y mantenerme informado durante el tratamiento si había algún problema, cosa que no fue así.
Tiene un comportamiento encantador, lo que es una ventaja adicional para un dentista, que creo que todos estamos de acuerdo en que no son nuestras personas favoritas, en general, una experiencia de 5 estrellas.
Karen Shepherd
¡Fui a la Clínica Maida Smiles por primera vez y tuve una experiencia maravillosa! Tengo fobia al dentista, pero curiosamente salí del lugar con una gran sonrisa en la cara (¡literalmente!). La recepcionista fue muy amable, Susan fue impecable y muy servicial, y tuve una cita con la dentista más increíble, la Dra. Mafalda Vilhena. No podría recomendarla lo suficiente. Explica todo el procedimiento y es muy rigurosa en su trabajo. Enhorabuena al Dr. Pedro Gutiérrez por crear un ambiente de trabajo tan excelente y a todo el equipo. Volveré y traeré a mi familia y ni siquiera vivimos en Maida Vale. Gracias por un trabajo tan impecable en mis dientes y por quitarme el miedo a los dentistas. Nota: no cubren el NHS, solo las reservas privadas o con seguro.
María Monteiro