Serviços

Sobre

Taxas

Blog

Contactar

Emergência

Partilhar no:

Realities of The All-on-4 Procedure

September 18, 2025

Facts You Need to Know About the All-on-4 Procedure

The incredible full-mouth rehabilitation treatment All-on-4 is widely recognised as the best option for edentulous patients (cases of total tooth loss).However, other than the fact that they offer the least degree of movement, are the most secure option and can be immediately loaded, there's not much more information online about the procedure.But you've landed in the right place. Renowned implant dentist Dr Pedro Gutierres, based in London, has committed his daily practice to the procedure, so who better to dish on the facts and realities of the system?

You can eat the foods again you couldn't

Patients missing a full arch of missing teeth or only having a few of their natural set remaining, who might already be wearing dentures, will know there are certain foods they must avoid or cannot enjoy. With All-on-Four, that's not the case.One dental implant has five times the biting force of natural teeth, meaning patients opting for the revolutionary system can enjoy chewy and hard foods once more and won't have to worry about seeking denture-friendly soft foods.

all on 4 offer in London

All-on-Four is a more economical choice

Unlike using individual implants to replace each tooth root, which can become quite costly, All-on-Four uses only four implants per arch to secure a whole set of teeth (up to 14).The All-on-4 procedure will replace an entire row of missing teeth and is the most natural-looking prosthetic money can buy. Hence their cost. Our prices for All-on-4 begin from £16,000. All-on-4 at our London clinic can be financed, so you can pay monthly for your treatment as opposed in one large installment.

All-on-Four is the ultimate long-term option

Unlike dentures, which need replacing and repairing frequently or every few years, All-on-Four offers a fixed and permanent alternative.As the implants act as natural tooth roots embedded into your jawbone, the hybrid denture/bridge is fixed permanently and securely to your bone and gums.The true benefit is that you'll never have to worry about your dentures shifting out of place, falling out or becoming loose.

They leave the palate exposed

Part of the reason All-on-Four is so popular is that it's fixed and non-removable. It doesn't rely on suction or clasps to stay in place, so its design doesn't feature a palate plate. This means you can enjoy the taste and sensation of food much better, which is often a big bug-bearer for denture-wearers.

They don't require an abundance of bone

If you've had missing teeth for a while, you might notice a sunken appearance in your cheeks - caused by a bone breakdown and a loss of density.Most conventional implant treatments require a sufficient amount of bone in the jaw to anchor securely and successfully. Therefore, to be a successful candidate, many patients must first undergo a bone graft procedure to receive them.However, with All-on-4, you can avoid needing a bone graft altogether.Hailed as the graftless procedure, All-on-4 implants are placed and anchored in a way that avoids the need for an abundance of bone in the areas it's being placed, which is why they're immediately loaded.

full mouth missing teeth after

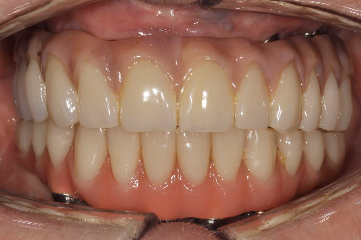
You won't get a better set of fake teeth

The denture/bridge prosthetic used for All-on-4 is made from a combination of superior materials like porcelain, zirconia and acrylic, which makes them hard-wearing, durable, easy to clean and resistant to stains.Your All-on-4 prosthetic will be hand-designed and made to suit your characteristics, with each tooth shaped and sized uniquely to you. The goal is to create a functional prosthetic that looks as natural as possible.

All-on-4 is immediately-loaded

If you don't know what immediately loaded means, let us explain. Immediately loaded prosthetics, like those used in All-on-4, mean we can load the hybrid denture/bridge the same day we place your dental implants. Hence, All-on-4's nickname is Teeth in a Day or Same-Day Teeth.However, please note that the prosthetic loaded on the day is only temporary—and it differs a lot from your final set. Your final prosthetic will be better made, thinner, and more comfortable, so don't assume it will be like the temporaries because, in fact, it will be much better.

Outros posts

Ver todos os postes