
September 18, 2025
What are all on 4 dental implants?With dental treatments constantly evolving worldwide, we at Maida Smiles Clinic are devoted to providing our patients with the latest global technological advancements in the industry right here in the heart of Maida Vale, London.
The All-on-4 is a revolutionary new technique whereby a whole arch of failing teeth is placed in a single visit with one of our implant dentists.
Facts:
[ninja_tables id="14042"]Explore the treatment. OR view costs.

The small number of implants allows for flexible placement, which means they can be placed wherever your bone mass is the greatest, avoiding anatomical limitations. This dramatically reduces, and in most cases eliminates, the need for harmful and invasive bone graft and sinus augmentation surgeries, making the treatment virtually painless, especially when using IV sedation. More.
Since the implants are eventually integrated into the bone, they help reduce or avoid bone resorption or atrophy.
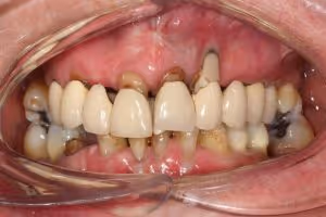
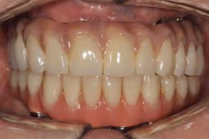
As you can take care of your new smile just like you would with natural teeth, the all-on-4 procedure minimises disruptions to your lifestyle, making inconvenient dentures a thing of the past! The high bite power of all-on-4 dental implants also means that you can now enjoy life without any restrictions on your diet.Additionally, these implants are cost-effective and permanent. They are placed firmly in your jawbone to eliminate shifting without the need for adhesive.We can combine this technique with other implant treatments for your desired aesthetic and functional results.[caption id="attachment_11281" align="alignnone" width="300"]

Before[/caption][caption id="attachment_11280" align="alignnone" width="300"]

After[/caption]
With proper care and good oral hygiene habits, the prosthesis attached to All-on-4 implants should last up to 30 years. When the prosthesis needs to be replaced, we can do so without disrupting the implants in the jaw, which can last a lifetime.You can expect natural and attractive results because your new teeth will be customised expressly for you and anchored right down into the gum line and jawbone to mimic natural teeth. Often, traditional dentures are easy to spot because they seem to move or float on top of the gums as you eat and speak.
https://youtu.be/c5271gPrFjo