
Do you want Teeth in a Day? All-on-Four/All-on-6 is the only permanent, fixed full-arch treatment with more than 18 years of success, having transformed the smiles of millions of patients worldwide, including a few thousand of our own here in London.
Bear in mind that this will not be the final step – even with All-on-4, we will need to wait up a minimum of 3 months for the implant site to heal and fuse with the bone.
But you’ll still leave that appointment with a full arch of teeth – they’ll just be temporaries. We’ll swap them out a few months later once the implants have healed.
How does All-on-Four work?
How to get All-on-4 implants
The first step:
Before booking you for the big day, we’ll invite you to our London practice in W9 to undergo an implant consultation with one of our very best surgeons.
The consultation:
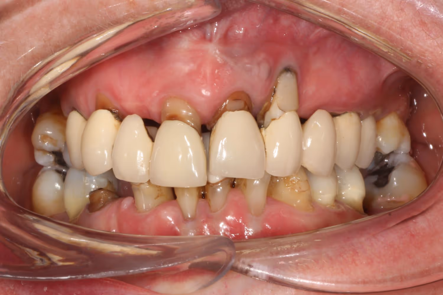
One of our dentists, like Dr Pedro Gutierres, will assess your mouth to ensure you are a viable candidate for the procedure during the consultation.
If so, we will discuss the treatment in detail and highlight other comparable alternative options.
Creating your new teeth
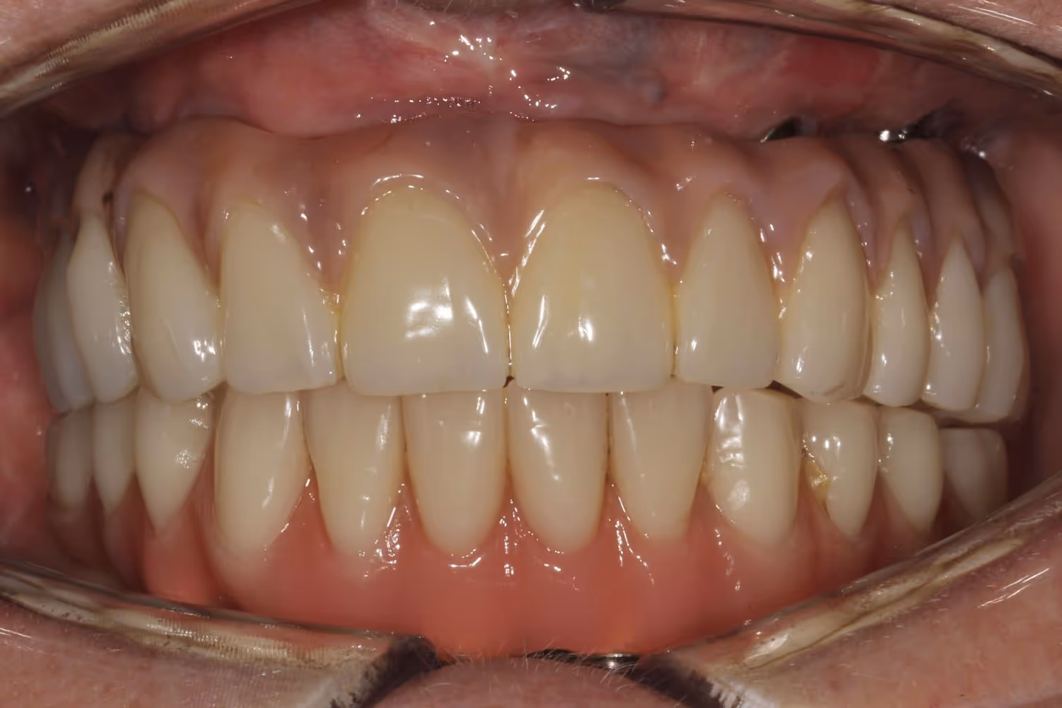
Once you’re happy to go ahead, we will send scans to a unique laboratory, where your new custom teeth will be specially sculpted.
Patients can rely on their new set of teeth will look incredible thanks to the technicians’ high-quality materials, equipment, and skill.
How long is the procedure?
One arch of All-on-Four can hold up to 14 teeth, which means we can rehabilitate an entire jaw of missing teeth in just a few hours (typically four).
During the procedure, temporary teeth will be immediately loaded whilst we wait for osseointegration (a period of healing) to finish.
Procedure steps on the day
If you choose to have all your top or bottom teeth replaced with dental implants at Maida Smiles Clinic, you can expect the big day to go like this:
However, you can treat your implants just like natural teeth after this.
The benefits





